
Zahnersatz / Prothetik
Im Verlauf des Lebens kommt es häufig zum Verlust eines oder mehrerer Zähne. In diesem Falle können Ihnen Dr. Ulli Voß, Dr. Anika Voß, Dr. Martin Lehnert & ihre Kollegen viele Varianten anbieten – schließlich gibt es für ein Problem meistens mehr als eine Lösung. Nahezu alle Möglichkeiten der Prothetik werden in unserem hauseigenen Meisterlabor hergestellt.
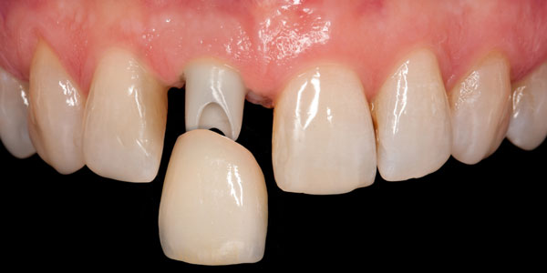
Hierbei achten wir insbesondere auf die Verträglichkeit aller verwendeten Materialien und Erzeugnisse – schließlich stehen Sie und Ihr Körper im Mittelpunkt unseres täglichen Handelns. Die ZAHNMANUFAKTUR ZEHLENDORF bietet Ihnen unter anderem (Teil-)Kronen und und Brücken aus Keramik und Metall.

Des Weiteren bieten wir auch festsitzenden Zahnersatz auf Implantaten, Teilprothesen, Vollprothesen, sowie implantatgetragene Prothesen für den Ersatz von mehreren fehlenden Zähnen.
Lassen Sie sich individuell beraten und erfahren Sie, was für Sie die beste Lösung ist.
Wir freuen uns auf Sie in der ZAHNMANUFAKTUR ZEHLENDORF.
