
Ästhetische Zahnmedizin
Die Zahnheilkunde hat in den letzten Jahren im Bereich der Ästhetik deutliche Fortschritte gemacht. Zeitgleich ist der Anspruch der Patienten an ein schönes, attraktives Lächeln gestiegen. Dr. Ulli Voß & Dr. Anika Voß und ihre Kollegen in der ZAHNMANUFAKTUR ZEHLENDORF haben mehrere Möglichkeiten, die Sie (wieder) zum Lächeln bringen.
Hierzu gehört die Behandlung Ihrer Zähne mit ästhetischen (Frontzahn-)Füllungen in hochmoderner Mehrschicht-Technik. Diese greift die verschiedenen Farbnuancen eines natürlichen Zahnes auf und fügt sich optimal in Ihre Zahnreihe ein.
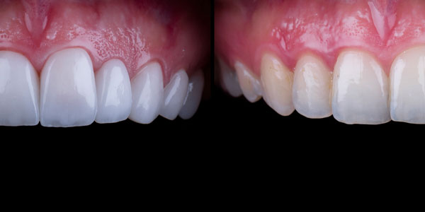
Eine weitere Möglichkeit ist die Versorgung von bestehenden Zähnen mit Keramikverblendschalen, den sogenannten Veneers. Diese werden direkt in unserem Praxislabor gefertigt. Unser Zahntechnikermeister kann gemeinsam mit Ihnen am Behandlungsstuhl Ihre (Wunsch-)Zahnfarbe besprechen und Ihre Vorstellungen in seine Arbeit mit einbeziehen.
Darüber hinaus können wir Ihnen vollkeramische Kronen anbieten, die 100% unter dem Dach unserer Zahnmanufaktur gefertigt werden! Hierfür verwenden wir die Werkstoffe Zirkon und Lithiumdisilikat, dem derzeitigen Goldstandard in der Frontzahnversorgung. Durch die Kombination aus hoher Stabilität, einer perfekt abgestimmten Zahnfarbe und ansprechender Transluzenz (durchscheinender Effekt) können wir Ihnen ein optimales Ergebnis versprechen!
Sollten Sie mit der Zahnfarbe Ihrer natürlich gegebenen Zähne nicht zufrieden sein, bieten wir Ihnen die Möglichkeit eines Bleachings (Zahnaufhellung) an.
Sprechen Sie uns gerne an – wir finden mit Ihnen zusammen eine Lösung, die Ihren Vorstellungen entspricht und ein natürliches, strahlendes Lächeln erzeugt.
